Mandel Geschwollen Einseitig
Halsschmerzen und geschwollene Mandeln deuten auf eine akute Mandelentzündung (Angina tonsillaris) hin Sanfte Hausmittel können im Anfangsstadium die Beschwerden lindern.
Mandel geschwollen einseitig. Die Ursachen für schmerzende und geschwollene Lymphknoten am Hals, unter den Armen oder an der Leiste sind meist harmlos Wir sagen Ihnen, wann Sie dennoch zum Arzt gehen sollten, und was zu. Wer kennt das nicht?. Bei einer Seitenstrangangina (Angina lateralis) handelt es sich um eine relativ seltene Rachenentzündung Sie tritt oftmals als Folge einer Erkältung auf Typische Symptome sind Hals und Ohrenschmerzen sowie Schluckbeschwerden Je nach Schwere der Erkrankung können Hausmittel zur Therapie der Seitenstrangangina genügen In einigen Fällen ist jedoch auch die Behandlung mit einem.
Eine gesonderte Behandlung ist nur dann notwendig, wenn die Schwellung selbst. Mandelentzündung Symptome bei Herpangina Bei einer Mandelentzündung durch CoxsackieAViren (Herpangina) sind die Mandeln nur leicht geschwollen Dazu bilden sich kleine Bläschen (Aphten) an Gaumen und Wangenschleimhaut, die nach dem Aufplatzen flache, schmerzhafte Defekte hinterlassen. Einseitig geschwollene Mandel seit 2 Wochen?.
Dementsprechend stellen sich die Symptome lediglich einseitig dar Die Mandel ist gerötet und es bildet sich ein schmieriger, grauweißlicher und unangenehm riechender Belag Leiden Kinder an einer Tonsillitis können zusätzlich Beschwerden wie Bauchschmerzen und Erbrechen dazukommen. Die Mandel ist stark geschwollen und das Gaumenzäpfchen zur Gegenseite verdrängt Hier kann nur Ihr HNOArzt weiterhelfen Meist wird der Abszeß durch eine Punktion eröffnet und der Eiter abpunktiert Eine Gefahr besteht nun darin, dass die Erreger in die nahe gelegene Blutbahn eindringen (sogenannte Blutvergiftung) und sich so im ganzen. Weitere Hausmittel gegen geschwollene Mandeln Verrühren Sie ein Gemisch aus 1 Esslöffel Meerrettich (frisch gerieben) und 1 Esslöffel Honig in heißem Wasser und geben Sie noch einige Gewürznelken dazu.
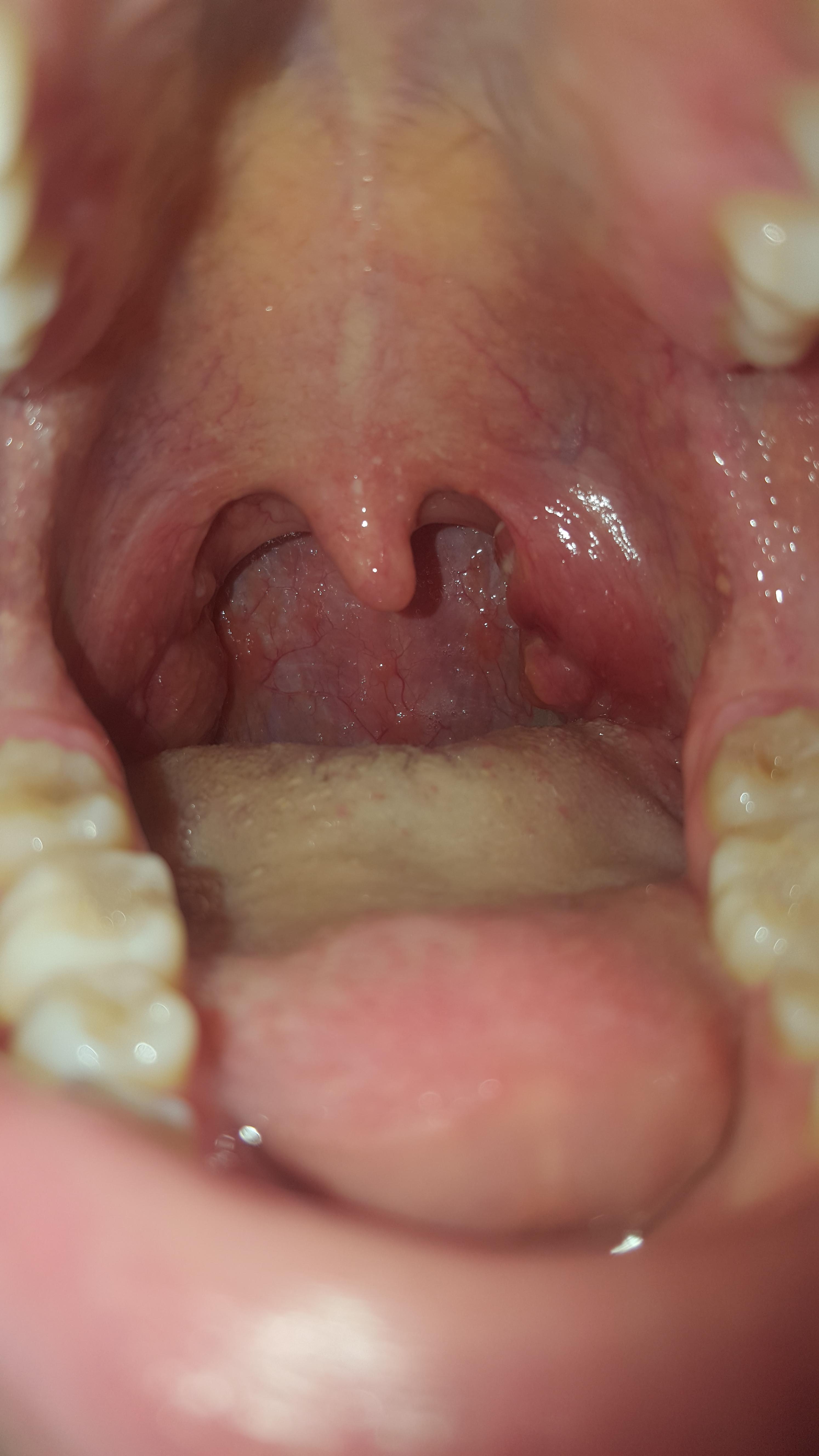
Ja und die Mandel ist auch nicht eitrig oder so, sie ist einfach nur geschwollen und zerklüftet, es sind so komische Rillen drauf Ich hab einen Termin beim HNO in einer Woche Mal sehen, was er zu der Mandel sagt. Wer bei einem fieberhaften Infekt mit dem üblichen Drum & Dran über einen dicken Hals klagt, meint damit meist, dass dieser sich innen geschwollen anfühlt, vielleicht auch wehtut Schuld ist oft eine Mandelentzündung Die Mandeln sind kleine, den Lymphknoten ähnliche Gebilde, die tatsächlich mandelförmig aussehen. Sekret aus Mandel (einseitig), keine Entzündung Liebe Community, ich habe vor Monaten aufgrund eines Fremdkörpergefühls beim Schlucken (rechts) in meinen Hals geschaut und entdeckt, dass meine rechte Mandel größer ist als meine linke.
Ich habe vor ca 2 3 Jahren festgestellt, dass ich eine einseitige Schwellung der Mandel habe Vor einem Jahr war ich bei einem Hausartzt, dieser hat mich zu einem Klinikum geschickt Der dortige Arzt hat sich die Mandel angeschaut Er meinte damals, ob es sich um Krebs handelt könnte nur durch die Entfernung der Mandel festgestellt werden. Hi, Also ich hab vor zwei Wochen entdeckt dass meine mandel geschwollen ist, allerdings nur links Anfangs hatte ich auch Schmerzen Die sind zwar nun weg aber die Schwellung und die Schwellung des Lymphknoten links geht nicht zurück Beim HNO der auch einen abstrich gemacht hat kam nicht wirklich. Ein geschwollenes Gaumenzäpfchen (Uvula) ist erst mal kein Grund zur Sorge, es kann aber zu Schnarchen führen Oft treten die Schwellungen jedoch auch erst wegen dem Schnarchen auf.
Die entzündeten Mandeln sind hochrot geschwollen und mitunter eitrig, also weiß bis gelblich belegt Auch die Lymphknoten im Kieferwinkel sind oft fühlbar angeschwollen. Plötzlich sind sie da, diese unangenehmen Schmerzen beim Schlucken Spätestens der Blick in den Spiegel zeigt, hier scheint wohl eine Mandelentzündung im Anmarsch zu sein Ein geröteter, geschwollener Rachen, eventuell sogar eitrige Beläge auf den Mandeln sind ein deutliches Zeichen für eine Tonsillitis, im Volksmund auch „dicke Mandeln. Ebenso, wenn die Lymphknoten nur auf einer Seite geschwollen sind, zum Beispiel nur in der rechten Achselhöhle Hält die zu ertastende oder sichtbare Lymphknotenschwellung über einen Zeitraum von drei Wochen an, ohne dass es einen nachvollziehbaren Grund dafür gibt, sollte man ebenfalls zum Arzt gehen.
Nachfrage zu einseitig geschwollene Mandel Nach meiner Erfahrung dürfen Sie dem Kinderarzt wirklich vertrauen Seine Einschätzung ist für mich nachvollziehbar Er weiß den Krankheitswert der Befunde (Lymphknoten, auch Bauchschmerzen) sicher einzuschätzen Ich halte also abwartendes Verhalten ohne mütterliche Sorgen für gerechtfertigt. Einseitig dicke Mandel Lymphknoten dick ~ Krebs?. Geschwollenes Gaumenzäpfchen, was soll ich tun?.
Aber anstatt das sich der einseitig geschwollene Lymphknoten zurückbildet kommt es mir vor als würde er wachsen (!) Der zweite Arzt meinte sogar er ist schwer beweglich Er hat ca 3cm Durchmesser ist nicht weich und auch nicht wirklich weich Schmerzen tut er nicht nur gelegentlich spüre ich eine Art Ziehen aus der Region. Vergrößerte oder hypertrophe Mandeln (Tonsillen) sind besonders bei Kleinkindern keine Seltenheit Mit zunehmendem Lebensalter werden die Mandeln auch im Verhältnis zur Körpergröße kleiner, und meist gehen die Beschwerden zurück Dies gilt jedoch nicht für alle Personen, und manchmal kommt es mit dieser Besonderheit immer wieder zu Mandelentzündungen oder anderen Beschwerden In. Bei einer ausgeheilten, alten Entzündung der Lymphknoten (Lymphadenitis) bleiben häufig kleine, verschiebbare sowie harte, aber schmerzlose Lymphknoten über einen längeren Zeitraum bestehenDa allerdings geschwollene, schmerzlose Lymphknoten auch bei bösartigen Erkrankungen auftreten können, sollten sie immer ärztlich abgeklärt werden 1Der folgende Text erklärt, warum geschwollene.
Mandelentzündung Symptome bei Herpangina Bei einer Mandelentzündung durch CoxsackieAViren (Herpangina) sind die Mandeln nur leicht geschwollen Dazu bilden sich kleine Bläschen (Aphten) an Gaumen und Wangenschleimhaut, die nach dem Aufplatzen flache, schmerzhafte Defekte hinterlassen. Behandlung der Gaumenmandelentzündung durch die HNO Berlin, Citypraxen BerlinMitte, Friedrichstr 180, Berlin;. Augenlid geschwollen – Ursachen, Symptome und Tipps zur Behandlung Hier kann ein geschwollenes Augenlid einseitig oder auch beidseitig auftreten Wenn es einseitig auftritt dann ist zum Beispiel nur linksseitig ein geschwollenes Augenlied zu beobachten Die Ursachen für ein geschwollenes Auge können vielschichtig sein.
Danke für euere Beiträge Gruß, Kathi. Mandel und Rachenentzündung Die Tonsillitis bezeichnet eine Entzündung der Mandeln und kann sowohl auf beiden als auch nur auf einer Seite auftreten Die befallenen Mandeln weißen einen weißgelblichen Belag auf und Patienten leiden unter starken Halsschmerzen auch einseitig. Re EInseitig geschwollene Zunge VIelen Dank für Ihre Antwort Mit Ulzeration meinte ich eine Leukoplakie sowie ein kleines schmerzloses Geschwür, wie von einer Bissverletzung Allerdings gurgele ich seit einigen en mehrmals am mit grünem Tee (und trage über Nacht eine Paste aus Öl und Kurkuma auf) und habe nun festgestellt, dass das "Geschwür" schon kleiner geworden ist.
Kindergesundheit Hallo zusammen, unsere kleine Tochter macht uns gerade Sorgen Sie ist fast 4 Jahre als und hat seit knapp 2 Wochen einseitig geschwollene Mandel. Sind die Mandeln aber operativ entfernt worden, fehlt diese SchutzfunktionDie Schleimhäute im Rachenbereich können nun viel schneller von Viren und auch Bakterien angegriffen werden Statt der klassischen „Mandelentzündung“ können sich andere Krankheitsbilder, die zu einer Halsentzündung führen, entwickeln. Geschwollene Mandel das sind die Ursachen Schwellen die Mandeln an, ist eine Mandelentzündung im Anmarsch Geschwollene Mandeln sind die ersten Symptome einer beginnenden Tonsillitis, also einer.
Nach dem Essen auftretende Schwellungen und Schmerzen im Bereich der Speicheldrüsen sprechen dafür, dass ein Speichelstein vorliegt Folgenschwere Infektionen sind möglich Daher ist mit der. Einseitig geschwollene Mandeln kommen nicht so häufig vor wie beidseitig geschwollene Mandeln Einseitige geschwollene Mandeln können unterschiedliche Ursachen haben Oft kommen sie im Rahmen von einseitigen Zahnentzündungen oder Zahnwurzeloperationen vor, bei Syphilisinfektionen, Tuberkulose oder gut und bösartigen Tumoren. Der hintere Rachenraum ist gleichmäßig stark gerötet, sowohl die rechte als auch die linke Gaumenmandel ist geschwollen und eventuell vorhandene Eiterauflagerungen finden sich ebenfalls auf beiden Mandeloberflächen Die einseitige Mandelentzündung Die einseitige Mandelentzündung ist nicht so häufig wie die beidseitige.
Behandlung der Gaumenmandelentzündung durch die HNO Berlin, Citypraxen BerlinMitte, Friedrichstr 180, Berlin;. Geschwollene Lymphknoten (Lymphadenopathie, Lymphadenitis) zeigen, dass das Immunsystem aktiv ist und gegen Krankheitserreger kämpft So sind die Lymphknoten zum Beispiel bei Erkältungen oder Röteln oft deutlich und schmerzhaft tastbar Dauerhaft vergrößerte Lymphknoten können aber auch auf Krebs hinweisen. Geschwollener hoden einseitig kind Die Ursachen für eine Hodenschwellung sind vielfältig Ein absoluter Notfall, der mit plötzlich auftretenden starken Schmerzen verbunden ist und ein sofortiges Handeln erfordert, ist die sogenannte HodentorsionDurch eine plötzliche Eindrehung des Samenstrangs wird die Durchblutung des Hodens unterbrochen, was innerhalb kürzester Zeit zu einem Absterben.
Die Entfernung der Mandel stelle deshalb „eine der wirksamsten Maßnahmen dar, mit der die Gesundheit und damit das Lebensschicksal eines Menschen in günstiger Weise gesteuert werden kann“. Mögliche Vernarbungen mit der Muskulatur der Mandelbucht führen zur Unbeweglichkeit, die Mandel kann nicht mehr seitlich verschoben werden Wenn man mit einem Stäbchen auf die Mandeln drückt, tritt Eiter oder Detritus aus Der vordere Gaumenbogen ist gerötet, die Halslymphknoten sind geschwollen, schmerzen jedoch nicht. Dicke Mandeln was tun?.
Einseitige Halsschmerzen können mehrere Ursachen haben, wobei häufig ein Abszess nach einer Entzündung der Mandeln, ein sogenannter Peritonsillarabszess, der Auslöser ist Da auch eine Krebserkrankung solche Beschwerden hervorrufen kann, ist eine fachärztliche Abklärung bei einseitigen Halsschmerzen angezeigt. Akute Mandelentzündung (Angina Tonsillaris, Tonsillitis) Abszess als mögliche Komplikation einer Mandel oder Rachenentzündung. Bei einer Seitenstrangangina (Angina lateralis) handelt es sich um eine relativ seltene Rachenentzündung Sie tritt oftmals als Folge einer Erkältung auf Typische Symptome sind Hals und Ohrenschmerzen sowie Schluckbeschwerden Je nach Schwere der Erkrankung können Hausmittel zur Therapie der Seitenstrangangina genügen In einigen Fällen ist jedoch auch die Behandlung mit einem.
Der hintere Rachenraum ist gleichmäßig stark gerötet, sowohl die rechte als auch die linke Gaumenmandel ist geschwollen und eventuell vorhandene Eiterauflagerungen finden sich ebenfalls auf beiden Mandeloberflächen Die einseitige Mandelentzündung Die einseitige Mandelentzündung ist nicht so häufig wie die beidseitige. Die entzündeten Mandeln sind hochrot geschwollen und mitunter eitrig, also weiß bis gelblich belegt Auch die Lymphknoten im Kieferwinkel sind oft fühlbar angeschwollen. Seit zwei en habe ich geschwollene Mandeln und Lymphknoten Da mir aber nichts weh tut, will ich deswegen nicht zum Arzt oder ist ein Arztbesuch doch erforderlich, um spätere Komplikationen zu vermeiden?.
Ich habe weiße Punkte auf meinen Mandeln war schon beim HA der hat mit Antibiotika verschrieben dies hat aber nicht viel gebracht Man muss noch dazu sagen da, das ich keinerlei Krankheitsgefühle habe Es ist nur mein linker lymphknoten Mandeln geschwollen und der rachen ist leicht weiß/grau belegt mit vereinzelt roten flecken Lg. Meist sind die Lieder geschwollen, wenn Sie zu wenig Schlaf abbekommen haben Eine sehr einfache Maßnahme bewirkt oft schon Wunder Spritzen Sie sich kaltes Wasser ins Gesicht Das weckt nicht nur müde Geister Die Kälte wirkt abschwellend auf die Augenlider. Seit etwa 1 1/2 Monaten ist meine rechte Mandel und die rechts liegenden Lymphknoten sind etwas geschwollen (kein Eiter oder so, nur leichte Schwellung und Fremdkörpergefühl beim Scchlucken) und ich fühle mich nicht ganz auf der Höhe.
Halsschmerzen und geschwollene Mandeln deuten auf eine akute Mandelentzündung (Angina tonsillaris) hin Sanfte Hausmittel können im Anfangsstadium die Beschwerden lindern. Seit etwa 1 1/2 Monaten ist meine rechte Mandel und die rechts liegenden Lymphknoten sind etwas geschwollen (kein Eiter oder so, nur leichte Schwellung und Fremdkörpergefühl beim Scchlucken) und ich fühle mich nicht ganz auf der Höhe. Vergrößerte Mandeln Bei vergrößerten Mandeln handelt es sich um eine vorübergehende oder dauerhafte Schwellung der Gaumenmandeln oder auch der Rachenmandeln Diese kann als Begleitsymptom einer Erkrankung wie beispielsweise eines Infekts auftreten Mit Abklingen dieser schwellen auch die Mandeln wieder ab;.
ICh habe häufig Probleme mit den Mandeln Extrem seit einem Jahr, vor drei Jahren fing es leicht an Ich habe allerdings seltens beide Mandeln gleichzeitig vereitert Sondern meist immer nur eine Die Seiten wechseln sich ab Die Mandeln schwillt dann leicht an und ich habe mal ein o zwei Eiterstippen darauf Grade ist es wieder die linke Mandel. Ich meinte ja nicht, ob jemand schon mal einen Tumor hatte sondern so eine einseitig geschwollene Mandel Habe mich etwas doof ausgedrückt, entschuldige Ist es aber, wie eine kleine Memme stehe ich dann da und heule stundenlang. Mandel oder Rachenentzündung kann auch einseitig auftreten Die einseitigen Halsschmerzen können aber auch andere Ursachen haben Die sogenannte 'Tonsillitis' bezeichnet eine Entzündung der Mandeln und kann sowohl einseitig als auch beidseitig auftreten.
Mögliche Gründe für einseitig geschwollene Mandeln Infektionen können beide Mandeln anschwellen lassen Eine geschwollene Mandeln auf nur einer Seite des Mundes ist nicht sehr häufig, aber es gibt ein paar Ursachen dafür Das sind sie Peritonsillarer Abszess;. Außerdem sind die Lymphknoten am Hals geschwollen Auch hier wirken Hausmittel und lokal wirkende Schmerzmitte l wie Halstabletten Antibiotika sind nur bei einer nachgewiesenen bakteriellen Infektion sinnvoll!. Mandel oder Tonsillensteine werden auch als Tonsillolithe bezeichnet und sind Kalkstrukturen, die in den Mandeln gebildet werden Die Vertiefungen in den Mandeln können sich mit weißem, gehärtetem Material füllen, das besteht aus Schleim, Bakterien, toten Zellen, Speiseresten.
Termine unter 0306 226 408. Termine unter 0306 226 408. Bei einer Mandelentzündung (Tonsillitis) sind eine oder beide Mandeln gerötet, geschwollen und von einem gelblichweißen Belag überzogen Die Betroffenen klagen über einseitige oder.
Meine rechte Mandel ist etwas geschwollen und mit Eiter belegt, schon seit ca 4 en Allerdings habe ich nur ganz leichte Schmerzen und einen trockenen Hals Bin mir unsicher, ob's tatsächlich eine Mandelentzündung ist oder vielleicht auch Mandelsteine?. Wenn er aufgrund der Beschwerden den Verdacht hat, dass die Zungenmandeln geschwollen und entzündet sind, verweist er Patienten weiter an den HNOArzt Diese Behandlungsschritte empfiehlt der Experte Spülen und Gurgeln mit entzündungshemmenden Mitteln – etwa mit abgekühltem Kamillen oder Salbeitee oder speziellen Lösungen aus der Apotheke. Geschwollene Lymphknoten (Lymphadenopathie, Lymphadenitis) zeigen, dass das Immunsystem aktiv ist und gegen Krankheitserreger kämpft So sind die Lymphknoten zum Beispiel bei Erkältungen oder Röteln oft deutlich und schmerzhaft tastbar Dauerhaft vergrößerte Lymphknoten können aber auch auf Krebs hinweisen.
Außerdem sind die Lymphknoten am Hals geschwollen Auch hier wirken Hausmittel und lokal wirkende Schmerzmitte l wie Halstabletten Antibiotika sind nur bei einer nachgewiesenen bakteriellen Infektion sinnvoll!. Ein peritonsillarer Abszess ist, wenn sich Eiter zwischen Mandeln und Rachenwand sammelt. Eine Stimmband oder Kehlkopfentzündung macht sich durch Heiserkeit, Reizhusten, Schluck und Atembeschwerden bemerkbar, wobei die Schmerzen auch einseitig auftreten können.
Akute Mandelentzündung (Angina Tonsillaris, Tonsillitis) Abszess als mögliche Komplikation einer Mandel oder Rachenentzündung. Hallo Leute, ich mache mir langsam so starke Sorgen, dass mir manchmal die Luft wegbleibt das schlimmste ist, dass ich überhaupt nicht weiss was los sein könnte Ich hoffe jemand hier weiss annähernd bescheid. Einseitige Halsschmerzen können mehrere Ursachen haben, wobei häufig ein Abszess nach einer Entzündung der Mandeln, ein sogenannter Peritonsillarabszess, der Auslöser ist Da auch eine Krebserkrankung solche Beschwerden hervorrufen kann, ist eine fachärztliche Abklärung bei einseitigen Halsschmerzen angezeigt.
Http Www Klinikum Uni Muenchen De Klinik Und Poliklinik Fuer Hals Nasen Und Ohrenheilkunde Download Inhalt Lehre Veranstaltungen Mandelentz Pdf
Geschwollene Zunge Ursachen Behandlung Vorbeugung Gesundpedia De
Q Tbn And9gctgwudgb8ed2dussuk32byorxtijayghkry0vpnrjswr Whdggp Usqp Cau
Mandel Geschwollen Einseitig のギャラリー
Mandelsteine Hno Praxis Dr Weinzierl
Mandelentzundung Welche Typischen Symptome Gibt Es
Gaumenschmerzen Ursachen Und Therapie Heilpraxis
Lymphknoten Aufbau Funktion Ursachen Fur Eine Lymphyknotenschwellung
Mandelentzundung Ursachen Symptome Netdoktor Ch
Geschwollene Zunge Ursachen Und Behandlung Brigitte De
Einseitige Halsschmerzen Diese Krankheiten Stecken Dahinter Bildderfrau De
Schluckbeschwerden Wegen Einseitig Geschwollener Mandel Mandeln
Geschwollene Mandel Stockfotos Und Bilder Kaufen Alamy
Geschwollene Lymphknoten Ursachen Symptome Behandlung
Mandelsteine Hno Praxis Dr Weinzierl
Erkrankungen Der Mundhohle Und Des Rachens Oropharynx
Lymphom Symptome Diagnose Behandlung
Einseitig Geschwollene Mandel Op Ja Oder Nein Geschwollen
Lymphknotenschwellung Geschwollene Drusen Geschwollene Lymphdrusen Lymphadenopathie
Einseitige Schluckbeschwerden Ursachen Behandlung Vorbeugung Gesundpedia De
Halsschmerzen Ursachen Behandlung Netdoktor
Kehlkopf Rachen Oder Mandelentzundung Kratzen Im Hals Behandeln
Q Tbn And9gcsrpbteop5kbgqfstjaes4k5c6oetzswuf2pjoqavxmf4tgzleo Usqp Cau
Halsschmerzen Ohne Mandeln Geht Das
Halsschmerzen Patientenleitlinie Www Patientenleitlinien De Halsschmerz Angina Halsentzundung
Q Tbn And9gctn Dr97z2lqu8gpgmwmhueqrckkrv0jqfcyg0 Xaz5wbedt60f Usqp Cau
Brennen Druck Oder Kloss Im Hals Halsschmerz Symptome Kanyo
Lymphknoten Am Hals Geschwollen Was Tun
Ohrenschmerzen Ursachen Erkrankungen Im Nasen Rachen Raum Und Kehlkopf Apotheken Umschau
Geschwollene Mandel Stockfotos Und Bilder Kaufen Alamy
Mandelentzundung Apotheken Umschau
Mandelentzundung Symptome Antibiotika Dauer Was Tun Ansteckend
Dicker Lymphknoten Am Hals Einseitig Einseitig Geschwollener Lymphknoten Am Hals 19 12 29
Mandelentzundung Tonsillitis Symptome Hausmittel Pascoe
Q Tbn And9gctiaxrbyknujerjvkmtkqmaorbsp12dssby Qtpogsadl7phvlq Usqp Cau
Mandeln Seit 3 Monaten Geschwollen Gesundheit Und Medizin Gesundheit Medizin
Die Besten Hausmittel Gegen Halsschmerzen
Krankheiten Des Rachens Und Halses Bei Kindern Und Jugendlichen Springerlink
Mandelentzundung Streptokokken Angina
Krankheiten Des Rachens Und Halses Bei Kindern Und Jugendlichen Springerlink
Mandelentzundung Bakteriell Oder Viral Gesundheit Und Medizin Gesundheit Arzt
Mandelentzundung Ursachen Symptome Behandlung
Geschwollene Mandel Stockfotos Und Bilder Kaufen Alamy
Seitenstrangangina Symptome Dauer Hausmittel
Erkrankungen Der Mundhohle Und Des Rachens Oropharynx
Erkrankungen Der Mundhohle Und Des Rachens Oropharynx
Mandel Geschwollen Nun 1 Jahr In Ruhe Lassen Gesundheit Und Medizin Arzt Entzundung
Halsschmerzen Ohne Mandeln Ursachen Behandlung
Mandelentzundung Apotheken Umschau
Rachenkrebs Symptome Behandlung Und Heilungschancen
Mandeln Entfernen Von Der Mandelentzundung Bis Zur Operation
Lymphknoten Sind Geschwollen Wie Gefahrlich Ist Das
Gaumenmandelentzundung Tonsillitis Hno Arzt Berlin Mitte
Rachenkrebs Symptome Behandlung Und Heilungschancen
Angina Mandelentzundung Meine Gesundheit
Woher Kommen Starke Einseitige Halsschmerzen Schmerzen Entzundung Hals
Rachenentzundung Pharyngitis Symptome Therapie Netdoktor
Tonsillenhyperplasie Doccheck Flexikon
Mooci Mandelsteine Ungefahrlich Aber Unangenehm
Geschwollene Mandel Stockfotos Und Bilder Kaufen Alamy
Geschwollene Mandel Stockfotos Und Bilder Kaufen Alamy
Schwellung Am Hals Dicker Hals Apotheken Umschau
Einseitig Geschwollene Mandel Op Ja Oder Nein Geschwollen
Geschwollene Mandel Stockfotos Und Bilder Kaufen Alamy
Mooci Rachenentzundung Das Hilft Wirklich
Mandelentzundung Apotheken Umschau
Lymphknoten Am Hals Geschwollen Was Tun
Tonsillitis Wikipedia
Einseitige Halsschmerzen Diese Krankheiten Stecken Dahinter Bildderfrau De
Erkrankungen Der Mundhohle Und Des Rachens Oropharynx
Erkrankungen Der Mundhohle Und Des Rachens Oropharynx
Lymphknoten Aufbau Funktion Ursachen Fur Eine Lymphyknotenschwellung
Eitrige Mandeln So Wirst Du Sie Wieder Los Brigitte De
Aphthe Im Mund Was Lost Sie Aus Die Besten Tipps Zur Behandlung Stern De
Schluckstorungen Wenn Essen Nicht Mehr Runtergeht Pz Pharmazeutische Zeitung
Mandelentzundung Gesundheitsinformation De
Zungenmandeln Erst Entzundet Fallen Sie Auf Bildderfrau De
Loch In Der Mandel Normal Gesundheit Und Medizin Gesundheit Arzt
Weisser Punkt An Den Mandel Im Mund Was Konnte Es Sein Mandeln
Hilfe Geschlechtskrankheit Im Mund Gesundheit Und Medizin Oralsex Geschlechtskrankheiten
Wie Losen Mandelsteine Mundgeruch Aus Bildderfrau De
Mandelsteine Und Jetzt Hno Vahle
Stark Geschwollene Mandel Cyberdoktor Patientenberatung
Erkrankungen Der Mundhohle Und Des Rachens Oropharynx
Einseitige Halsschmerzen Was Steckt Dahinter Brigitte De
Schluckstorungen Wenn Essen Nicht Mehr Runtergeht Pz Pharmazeutische Zeitung
Einseitig Geschwollene Mandel Seit 2 Wochen Gesundheit Und Medizin
Mandelentzundung Tonsillitis Symtom Ursachen Diagnose Behandlung Krank De
Erkrankungen Der Mundhohle Und Des Rachens Oropharynx
Mandelentzundung Tonsillitis Symptome Dauer Behandlung Hausmittel Onmeda De
Paracetamol Gegen Halsschmerzen Apotheke Adhoc
Geschwollene Mandeln
Halsschmerzen Ursache Tipps Hausmittel Pascoe
Vergrosserte Mandeln Ursachen Behandlung Hilfe Medlexi De
Habe Seid Paar Jahren Einseitige Geschwollene Lymphknoten Haben Sich Aber Nicht Verandert Der Auf Meinte Es Kann Sein Das Sie So Bleiben Und Nicht Abschwellen Gesundheit Lymphknotenschwellung
Geschwollene Mandeln Auf Der Einen Seite 3 Ursachen Und Hausliche Behandlung
Chronische Mandelenzundung Hier Die Infos
Geschwollene Mandel Stockfotos Und Bilder Kaufen Alamy
Eine Mandelentzundung Ist Nicht Mehr So Gefahrlich Welt
23 Akute Schluckbeschwerden Und Rachenschmerzen Arztekammer Nordrhein
Was Ist Der Geschwollene Bereich Neben Dem Gaumenzapfchen Gesundheit Und Medizin
Einseitig Geschwollene Zunge Was Tun Gesundheit Und Medizin Korper Aussehen
Lymphknoten Sind Geschwollen Wie Gefahrlich Ist Das
Mandelentzundung Focus Arztsuche
Symptome Einer Mandelentzundung


